リリースニュース記事一覧
-
ヘルスケア関連事業を強化 「特定健診における受診率向上プログラム」提供開始/凸版印刷
凸版印刷株式会社は、これまで培ってきたマーケティング力を応用し、健康で安心な社会づくりに貢献するヘルスケア関連事業を強化します。「予防・未病」、「健康増進」、「地域包括ケア」の3つの視点から、戦略策定……
2015年10月20日 11:47 -
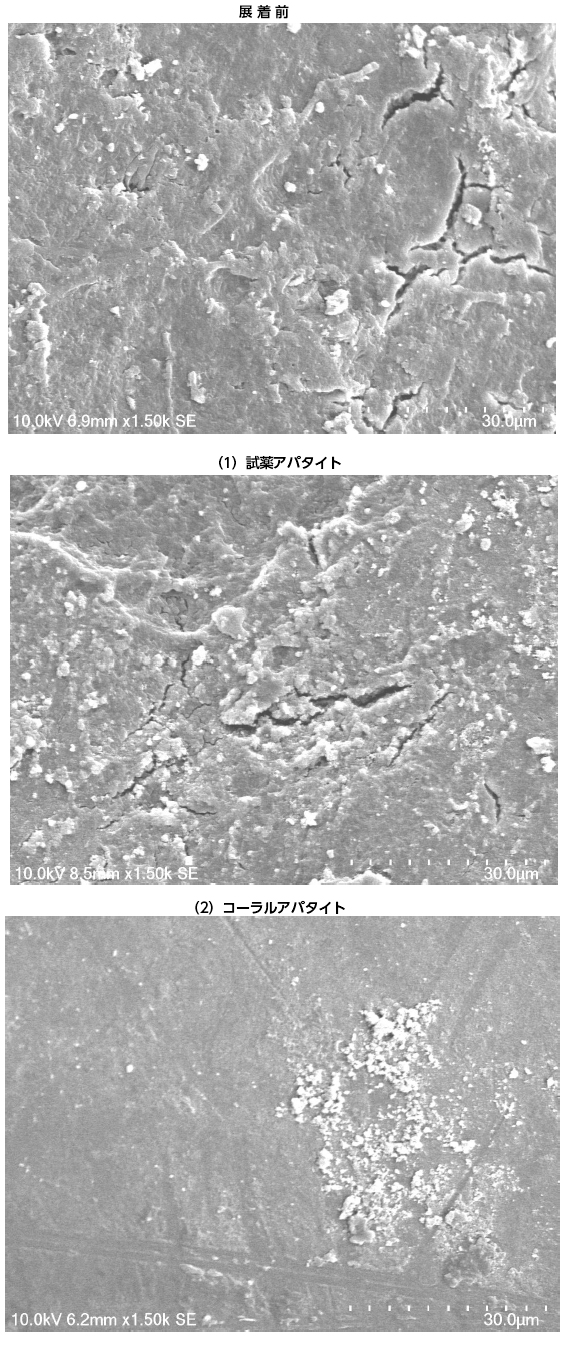
与那国島の化石サンゴを原料にして製造「コーラルアパタイト」の本格供給を開始/コーラルインターナショナル
沖縄県石垣市に本社を置くコーラルインターナショナル株式会社は、これまで一部供給としていた「コーラルアパタイト」の拡販を本格的に開始しました。アパタイト(ハイドロキシアパタイト)とは、歯のエナメル質の9……
2015年10月19日 17:13 -
脚全体をマッサージする「オムロン エアマッサージャ HM-260」を発売/オムロン ヘルスケア
オムロン ヘルスケア株式会社は、足先を温めながら、ふくらはぎから足先まで、脚全体をマッサージする「オムロン エアマッサージャ HM-260(以下HM-260)」を、11月20日から発売します。◎メ……
2015年10月19日 13:15 -
『オーブ クチュール ぽんぽんチーク(全5色)』等を新発売/花王
花王株式会社は、2015年11月24日、「オーブ クチュール」から、荒れがちな唇にうるおいを閉じ込めるチップタイプの口紅『オーブ クチュール 美容液ルージュ』(全12色)と、“ぽんぽん&r……
2015年10月19日 09:29 -
吉田カバンとコラボしたメンズコスメキットが好調/資生堂
資生堂が展開する、「SHISEIDO」ブランドのプレステージメンズライン「SHISEIDO MEN(シセイドウメン)」は、8 月より一部店舗にて先行発売した PORTER 仕様「SHISEIDO M……
2015年10月16日 20:05 -
「これでフルベジ 10種類ヨーグルト 紫の果実と野菜」を発売/森永乳業
森永乳業株式会社は、フルーツと野菜、合計 10 種類を一度に摂れる健康アシストヨーグルト「これでフルベジ 10 種類ヨーグルト 紫の果実と野菜」を 10 月 20 日(火)より全国にて新発売します。……
2015年10月16日 19:47 -
スーパーフードを美味しく摂れるクレンズスープ新発売/テンダリー
株式会社Tenderlyは、「健康は富に勝る」をコンセプトにしたブランドNatural Healthy Standardより、クレンズスープ<ミネストローネ・オニオン&グリーン>の2種類を……
-
機能性表示食品「ほっと食事の生茶」を新発売/キリンビバレッジ
キリンビバレッジ株式会社は、今年発売15周年を迎えた「キリン 生茶」ブランドから、機能性表示食品で初めて※となるホット専用のおいしい本格緑茶「ほっと食事の生茶」を11月10日(火)より全国で新発売し……
2015年10月15日 18:45 -
関節痛・腰痛治療薬「コンドロイチン ZS 錠®」(第3類医薬品)錠剤小型化のお知らせ/ゼリア新薬工業
ゼリア新薬工業株式会社は2015年10月14日より、関節痛・腰痛治療薬「コンドロイチン ZS 錠®」(第 3 類医薬品)の錠剤を小型化した製品を全国の薬局・ドラッグストアにおいて販売します。……
2015年10月14日 17:17 -
「素材のチカラ 生姜しぼり」を発売/エルビー
株式会社エルビーは、生姜をそのまま抽出した生姜本来の味をたのしめる「素材のチカラ 生姜しぼり」(カートカン195g)を10月27日(火)より、全国(沖縄県を除く)で新発売します。近年、生姜は冬場に体……
2015年10月14日 17:03 -
「発毛促進・育毛」と「脱毛予防」の両面からアプローチした育毛剤(医薬部外品)を発売/ナガセ ビューティケァ
長瀬産業株式会社の100%子会社、株式会社ナガセ ビューティケァでは、2015年11月1日、「発毛促進・育毛」と「脱毛予防」の両面からアプローチし、すこやかな髪の成長を促す男女兼用の薬用育毛剤「ナガ……
2015年10月14日 16:40 -
乾燥性、耐摩擦性、印刷再現性の高いコート紙「ユーライトDRY」発売/日本製紙
日本製紙株式会社は、インキ乾燥性とインキ耐摩擦性が高い、新製品「ユーライトDRY」を10月13日より販売を開始しました。 印刷会社では、小ロット・短納期の仕事が増加しており、またユーザーからの印刷再……
2015年10月13日 18:17 -
中国の消費者向け越境電子商取引サイト「Tmall Global(天猫国際)」に出店/花王
花王株式会社は、中国のアリババグループが運営する消費者向け越境電子商取引(越境Eコマース)サイト「Tmall Global(天猫国際)」に出店することについて、同グループとの合意に至りました。今年11……
-
シオノギヘルスケア(株)を設立/塩野義製薬
塩野義製薬株式会社は、同社100%子会社として国内におけるコンシューマーヘルスケア事業を行う新会社「シオノギヘルスケア株式会社」(以下、「シオノギヘルスケア」)を、2016年1月を目途に設立します。シ……
2015年10月13日 17:52 -
『コスメデコルテ AQ ミリオリティ』から、集中アイケアクリームを発売/コーセー
株式会社コーセーは、高付加価値ブランド『コスメデコルテ』の最高級シリーズ「AQ ミリオリティ」から、目もとの集中ケアができる「インテンシブ アイクリーム」(1品目1品種・20g/税抜30,000円)を……
2015年10月09日 17:31













